What Is A Crown Porcelain Ceramic Hub

All Porcelain Crown Vs Porcelain Fused To Metal Crown Pfm Crown

All Porcelain Crown Vs Porcelain Fused To Metal Crown Pfm Crown

What Type Of Crown Should I Use Dental Economics

What Type Of Crown Should I Use Dental Economics

Dentist Orlando Florida Zirconium Crowns Dental Crowns Dental Implants Tooth Crown

Dentist Orlando Florida Zirconium Crowns Dental Crowns Dental Implants Tooth Crown

Making Optimal Zirconia Crowns Dental Economics

Making Optimal Zirconia Crowns Dental Economics

Does Ceramic Crown Look As Unnatural As Pfm Crown Tooth Crown Porcelain Crowns Ceramics

Does Ceramic Crown Look As Unnatural As Pfm Crown Tooth Crown Porcelain Crowns Ceramics

Which Crown Goes Where Dental Economics

Which Crown Goes Where Dental Economics

Which Crown Goes Where Dental Economics

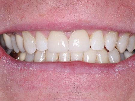
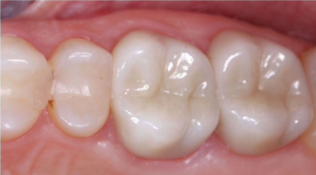
A crown constructed of either of these materials yields positive cosmetic results with porcelain creating a more natural look than the heavier look of full ceramic.

What is a crown porcelain ceramic hub. A popular choice is the cerec crown which is often made out of a very strong ceramic and is designed created and installed using computer assisted technology. All ceramic crowns can be used for. For this reason an all porcelain crown is typically used to repair decay on teeth within the smile zone whereas a fully ceramic crown is most often used in the rear of the mouth. The best option for front teeth restorations.

All ceramic and all porcelain crowns may look more natural but they re usually not as strong as the metal or porcelain fused to metal versions. All resin crowns tend to wear down faster too. However the main disadvantages of porcelain crowns are. All ceramic or all porcelain dental crowns provide better natural color match than any other crown type and may be more suitable for people with metal allergies.

They match your surrounding teeth in shape size and color. They are not as strong as metal crowns. Porcelain or ceramic crowns provide the best and most natural look. That means no metal is used so they are toxic free.

Different Types Of Dental Crowns And Why The 999 Price Tag Porcelain Ceramic Veneers Porcelain Fused To Metal Why A Dental Crowns Dental Implant Dentist

Different Types Of Dental Crowns And Why The 999 Price Tag Porcelain Ceramic Veneers Porcelain Fused To Metal Why A Dental Crowns Dental Implant Dentist

Ask Dr Christensen Dental Economics

Ask Dr Christensen Dental Economics

Peaceful Dental Crowns Before And After Porcelain Toothandnail Dentalcrownsbeforeandafterbeautiful Dental Crowns Dental Cosmetics Dental

Peaceful Dental Crowns Before And After Porcelain Toothandnail Dentalcrownsbeforeandafterbeautiful Dental Crowns Dental Cosmetics Dental

To Glaze Or Not To Glaze Dental Economics

To Glaze Or Not To Glaze Dental Economics

Loose Dental Crown Is A Common Problem Which Is Encountered By The Patients After Getting Dental Crown Life Span Of Dental Crowns Dental Dental Implants Cost

Loose Dental Crown Is A Common Problem Which Is Encountered By The Patients After Getting Dental Crown Life Span Of Dental Crowns Dental Dental Implants Cost

Calculating Dental Crowns Before And After Ceramics Teethwhiteningtrainer Dentalcrownporcelain Dental Crowns Dental Smile Teeth

Calculating Dental Crowns Before And After Ceramics Teethwhiteningtrainer Dentalcrownporcelain Dental Crowns Dental Smile Teeth

Alive Dental Crown News Teethwhiteningmalaysia Dental Crowns Dental Dental Fillings

Alive Dental Crown News Teethwhiteningmalaysia Dental Crowns Dental Dental Fillings

Lava Frame Zirconia 3m Espe Dental Products Us Aesthetic Dentistry Metal Crown Porcelain Crowns

Lava Frame Zirconia 3m Espe Dental Products Us Aesthetic Dentistry Metal Crown Porcelain Crowns

Dental Veneers Dental Veneers Cosmetic Dentistry Dentistry

Dental Veneers Dental Veneers Cosmetic Dentistry Dentistry

Need Dental Crowns Instead Of Waiting Weeks For A Placement Get A Dental Crown On The Same Day That Can Be Comfortab Dental Crowns Dental Dental Bridge Cost

Need Dental Crowns Instead Of Waiting Weeks For A Placement Get A Dental Crown On The Same Day That Can Be Comfortab Dental Crowns Dental Dental Bridge Cost

How Long Will A Crown Last The Duration That A Crown Will Last Depends On A Variety Of Factors Primarily It Depends On Dentistry Smile Makeover Oral Hygiene

How Long Will A Crown Last The Duration That A Crown Will Last Depends On A Variety Of Factors Primarily It Depends On Dentistry Smile Makeover Oral Hygiene

Pin On Dream Board

Pin On Dream Board

Https Encrypted Tbn0 Gstatic Com Images Q Tbn 3aand9gcrlzgtqctdueyipunrzlugay Yewd7dzvrqlg Usqp Cau

Https Encrypted Tbn0 Gstatic Com Images Q Tbn 3aand9gcrlzgtqctdueyipunrzlugay Yewd7dzvrqlg Usqp Cau

Affordable Dental Crowns Houston Dental Crown Procedure Dental Crowns Dental

Affordable Dental Crowns Houston Dental Crown Procedure Dental Crowns Dental

Dental Crowns Are Essential For Complete Tooth Restoration They Are Used In Conjunction With Dental Implants And Dental Crowns Dental Cosmetics Dental Bridge

Dental Crowns Are Essential For Complete Tooth Restoration They Are Used In Conjunction With Dental Implants And Dental Crowns Dental Cosmetics Dental Bridge

Dental Crowns Turkey Low Cost Dental Crowns Price Istanbul Longevita

Dental Crowns Turkey Low Cost Dental Crowns Price Istanbul Longevita

Pin On Posts

Pin On Posts

Highly Aesthetic Emax Pressed Ceramic Bidge Crown Local Dentist Implant Dentistry Dentist

Highly Aesthetic Emax Pressed Ceramic Bidge Crown Local Dentist Implant Dentistry Dentist

Https Encrypted Tbn0 Gstatic Com Images Q Tbn 3aand9gcs4jif8qlzfczthrymsfpt3i Pan20ceaeu Wlfycpw4b8x8dbr Usqp Cau

Https Encrypted Tbn0 Gstatic Com Images Q Tbn 3aand9gcs4jif8qlzfczthrymsfpt3i Pan20ceaeu Wlfycpw4b8x8dbr Usqp Cau

Pin On Dental Crown Porcelain

Pin On Dental Crown Porcelain

Cerec Crown Cost Richmond Va Dental Restorations Dental Crowns Dental Cosmetics Dental

Cerec Crown Cost Richmond Va Dental Restorations Dental Crowns Dental Cosmetics Dental

Gain A Winning Smile With Glass Ceramics The American Ceramic Society

Gain A Winning Smile With Glass Ceramics The American Ceramic Society

What Is The Difference Between Inlay Onlay Overlay And Pinlay News Dental Crowns Dental Dental Ceramics

What Is The Difference Between Inlay Onlay Overlay And Pinlay News Dental Crowns Dental Dental Ceramics

Dentist Burgess Hill Denplan Dentist West Sussex

Dentist Burgess Hill Denplan Dentist West Sussex

Dental Implants Are The Closest Substitution For A Natural Tooth Currently Available Mini Dental Implants Dental Implants Cost Cosmetic Dentistry Dental Facts

Dental Implants Are The Closest Substitution For A Natural Tooth Currently Available Mini Dental Implants Dental Implants Cost Cosmetic Dentistry Dental Facts

Porcelain Veneers Are A Cosmetic Procedure That Can Drastically Improve The Appearance Of Your Smile The Thin S Veneers Teeth Porcelain Veneers Dental Veneers

Porcelain Veneers Are A Cosmetic Procedure That Can Drastically Improve The Appearance Of Your Smile The Thin S Veneers Teeth Porcelain Veneers Dental Veneers

Pin On Cosmetic Dentistry

Pin On Cosmetic Dentistry

Do Veneers Ruin The Teeth 10 Things To Consider Before Getting Veneers Dental Veneers Veneers Teeth Cosmetic Dentistry Veneers

Do Veneers Ruin The Teeth 10 Things To Consider Before Getting Veneers Dental Veneers Veneers Teeth Cosmetic Dentistry Veneers

Tranquil Dental Crown Dentistry Dentisttime Dentalcrownsbeforeandafterlasvegas Dental Crowns Dental Dental Bridge

Tranquil Dental Crown Dentistry Dentisttime Dentalcrownsbeforeandafterlasvegas Dental Crowns Dental Dental Bridge

Full Smile Makeover Using Dental Implants And Porcelain Crowns Dental Implants Turkey Dental Dental Implants Dental Restoration

Full Smile Makeover Using Dental Implants And Porcelain Crowns Dental Implants Turkey Dental Dental Implants Dental Restoration

A Dental Crown Is Needed When A Tooth Is Badly Broken Down Either A Cusp Has Broken Off Or There Are Large Dental Crowns Dental Cosmetics Invisalign Dentist

A Dental Crown Is Needed When A Tooth Is Badly Broken Down Either A Cusp Has Broken Off Or There Are Large Dental Crowns Dental Cosmetics Invisalign Dentist

Stingy Dental Crowns Before And After Tooth Fairy Toothpastedispenser Dentalcrownporcelain Dental Crowns Dental Dental Facts

Stingy Dental Crowns Before And After Tooth Fairy Toothpastedispenser Dentalcrownporcelain Dental Crowns Dental Dental Facts

S Mark On Figure Porcelain Mark Query Crown Over S Hello I Have A Pair Of Blue White And Gold Porcelain Fi Porcelain Pottery Marks Porcelain Figurines

S Mark On Figure Porcelain Mark Query Crown Over S Hello I Have A Pair Of Blue White And Gold Porcelain Fi Porcelain Pottery Marks Porcelain Figurines

Penitent Dental Crowns Before And After Ceramics Teethwhiteningatl Dentalcrownsbeforeandafterbeautiful Dental Crowns Dental Pictures Dental

Penitent Dental Crowns Before And After Ceramics Teethwhiteningatl Dentalcrownsbeforeandafterbeautiful Dental Crowns Dental Pictures Dental

Quirky Dental Crowns Before And After Tooth Fairy Dentiste Dentalcrownsbeforeandafterbeautiful With Images Dental Crowns Dental Dentistry

Quirky Dental Crowns Before And After Tooth Fairy Dentiste Dentalcrownsbeforeandafterbeautiful With Images Dental Crowns Dental Dentistry

Distinct Dental Crown Tooth Fairy Toothjewelry Dentalcrownsbeforeandafterbeautiful Dental Crowns Dental Dental Facts

Distinct Dental Crown Tooth Fairy Toothjewelry Dentalcrownsbeforeandafterbeautiful Dental Crowns Dental Dental Facts

A Dental Crown Is A Cap That Is Placed Over A Tooth To Restore Its Shape Size Strength And Appearance A Crown Dental Crowns Dental Implants Cracked Tooth

A Dental Crown Is A Cap That Is Placed Over A Tooth To Restore Its Shape Size Strength And Appearance A Crown Dental Crowns Dental Implants Cracked Tooth

Porcelain Zirconia Teeth Implants Greenville Sc Dental Restoration Teeth Implants Dental Restoration Teeth

Porcelain Zirconia Teeth Implants Greenville Sc Dental Restoration Teeth Implants Dental Restoration Teeth

Porcelain Crown Pfm Crown Full Gold Crown Dental Crowns Dental Dental Charting

Porcelain Crown Pfm Crown Full Gold Crown Dental Crowns Dental Dental Charting

Pin On Dental Crowns Before And After Porcelain

Pin On Dental Crowns Before And After Porcelain

Puzzling Dental Crowns Before And After Cosmetics Dentists Dentalcrownporcelain Dental Crowns Dental Dental Implants Cost

Puzzling Dental Crowns Before And After Cosmetics Dentists Dentalcrownporcelain Dental Crowns Dental Dental Implants Cost

Dental Crowns Dental Crowns Dental Dental Cosmetics

Dental Crowns Dental Crowns Dental Dental Cosmetics

Amazon Com Trrwc01 Reusable No Splash Cap For 48mm Screw Top Snap On Crown Top Needs To Remove Inside White Ring 3 5 Gallon Bottles Water Dispensers Without Probes N Porcelain Ceramic

Amazon Com Trrwc01 Reusable No Splash Cap For 48mm Screw Top Snap On Crown Top Needs To Remove Inside White Ring 3 5 Gallon Bottles Water Dispensers Without Probes N Porcelain Ceramic

3

3

Source : pinterest.com